歯周病とは
歯周病は、口内のプラーク(歯垢)に潜む細菌の感染によって、歯肉・歯骨などが溶けていくという炎症性の疾患です。
初期は赤みや腫れが起こりますが、痛みはほとんどないため、気づかないうちに進行します。やがて、「膿が溜まる」「歯がぐらつく」といった症状が出て、重度になると治療が困難になり、歯を失ってしまうことにも繋がります。
「日本人が歯を失う最大の原因」といわれており、約80%の人がかかると言われています。また、糖尿病の悪化など全身に悪影響を及ぼすこともわかっています。常日頃からの予防や早期の対応が重要です。

歯周病の症状
- 歯磨きの時に出血がある
- 歯ぐきが腫れている
- 口臭が気になる
- 歯ぐきが下がっていて歯が長く見える
- 歯がぐらついている

歯周病治療について
進行の程度にかかわらず、まずは原因となっている歯垢や歯石(歯垢が固まって石灰化している部分)の除去を行います。
歯垢の除去を「プラークコントロール」といい、歯科では専用の器具などを用いて行いますが、併せて、ご自宅でのセルフケアも非常に大切です。正しいブラッシングなど丁寧なケアの方法をしっかりアドバイスします。
当院ではこれらに加えて、「歯周病の外科的治療」「歯周組織再生法」などにも取り組んでいます。
重度の歯周病でどうしても歯の喪失を避けられないという方に対しては、「インプラント」や「入れ歯」などをご提案しています。
これらの治療によって歯周の組織が改善されると、定期検診(メンテナンス)に移行します。

歯周病の外科的治療
「歯周外科」での手術
「歯周病治療の外科的処置」での手術
当院では重度の歯周病の場合に「歯周病の外科的治療」と呼ばれる歯周病治療に対応しています。
代表的な「Flap(フラップ)手術」と呼ばれるものは、まず歯の周囲の歯茎を切開し、歯周病の原因となっている歯の周囲の歯石や細菌などを目視するために行います。
通常のプラークコントロールだけでは深い溝の中の歯垢を取り残してしまい、歯周病が改善しなかったり再発したりします。これを避けるため、目で見ながら歯石や汚れなどをしっかり除去していくという治療です。
処置したあとに縫合し、約1週間後に抜糸します。その後は次第に切開した部分も目立たなくなります。

骨を回復させる「再生療法」
骨を回復させる「歯周組織再生法」
医療の各分野で「再生医療」「歯周組織再生法」が注目されるようになってきました。
歯科では、歯周病によって溶けてしまった顎の骨を再生するために行われます。
歯根に薬剤を注入し、その薬の働きで歯を支えている骨などの組織の成長を促し、元気な状態まで回復させるという考え方です。当院では、この歯の「歯周組織再生法」をご提供しています。
保険適用の範囲内で用いる薬剤は「リグロス」、保険適用外の自由診療では「エムドゲイン」という薬剤を採用しています。気になる方はお気軽にお尋ねください。

メリット
・歯周病によって失われた骨が取り戻せる
・抜けそうになった歯を抜かずに済む
・歯周ポケットが浅くなる
デメリット
・組織が再生するまでの期間が半年から1年ほどかかる
・歯肉の手術となるので一時的に腫れや痛みを伴うことがある
・全ての部位に適用できるわけではないので、しっかりと診断する必要がある
| 項目 | 詳細 |
|---|---|
| エムドゲイン | 110,000円〜(税込)/1回 |
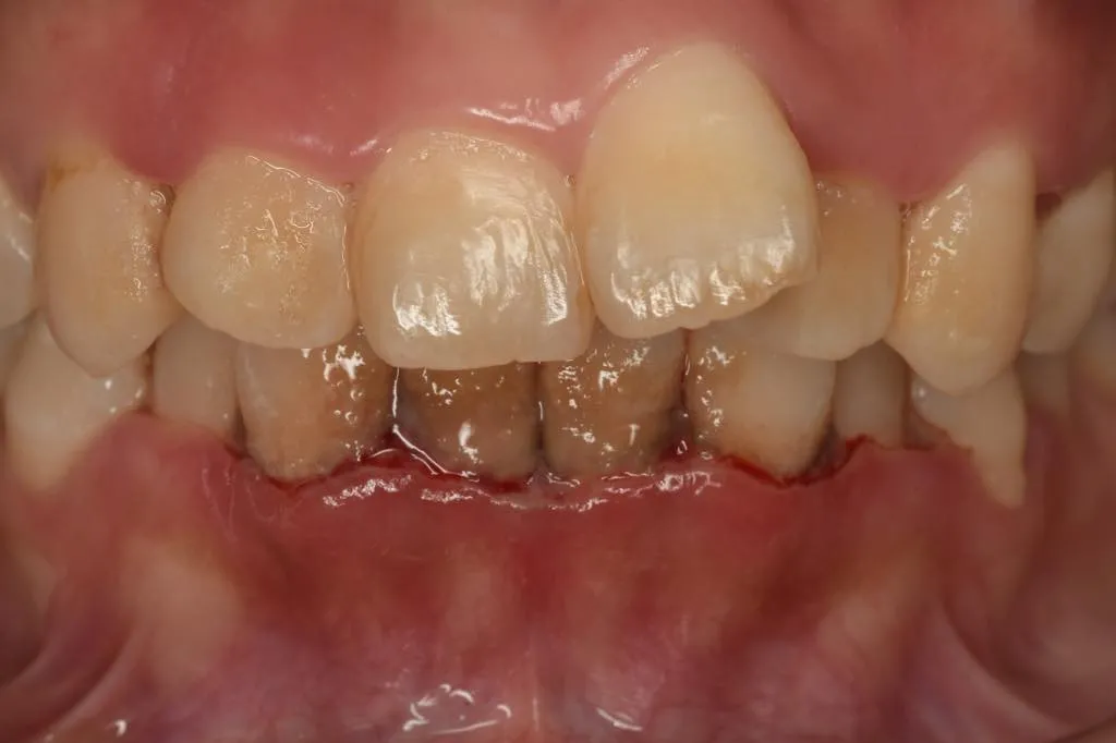
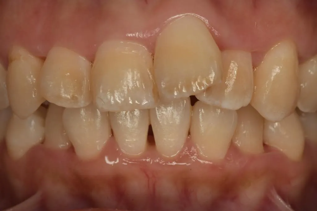
歯周病治療症例①
-1-1024x683.jpg.webp)
-2-1024x683.jpg.webp)
歯周病治療症例②


歯周病治療症例③(歯周組織再生療法)


院長からのメッセージ
私は、臨床歯周病学会の歯周病の会員で、経験豊富な指導医のもとで研鑽を積んできました。歯周病に関する知識を深め、多くの患者さまと向き合い、自らの実績も重ねております。
お気軽にご相談ください。

