『マウスピース矯正✨』
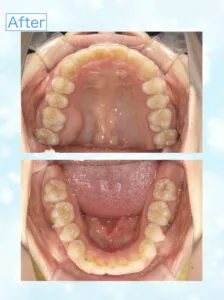
マウスピース矯正を行った患者さんです♪
矯正後は、上の前歯、下の前歯共にきれいに並び、噛み合わせ、見た目も大変良くなりました😁
歯がきれいに並ぶことで、自分でセルフケアがしやすくなり、虫歯や歯周病にもなりにくい環境になります💡

行橋市 すみむら歯科行橋クリニック
【2023年11月新規開業】すみむら歯科行橋クリニック|オープニングスタッフ募集中
マウスピース矯正を行った患者さんです♪
矯正後は、上の前歯、下の前歯共にきれいに並び、噛み合わせ、見た目も大変良くなりました😁
歯がきれいに並ぶことで、自分でセルフケアがしやすくなり、虫歯や歯周病にもなりにくい環境になります💡

行橋市 すみむら歯科行橋クリニック
2026年 (21)
2025年 (81)
2024年 (81)
2023年 (9)
2018年 (1)