
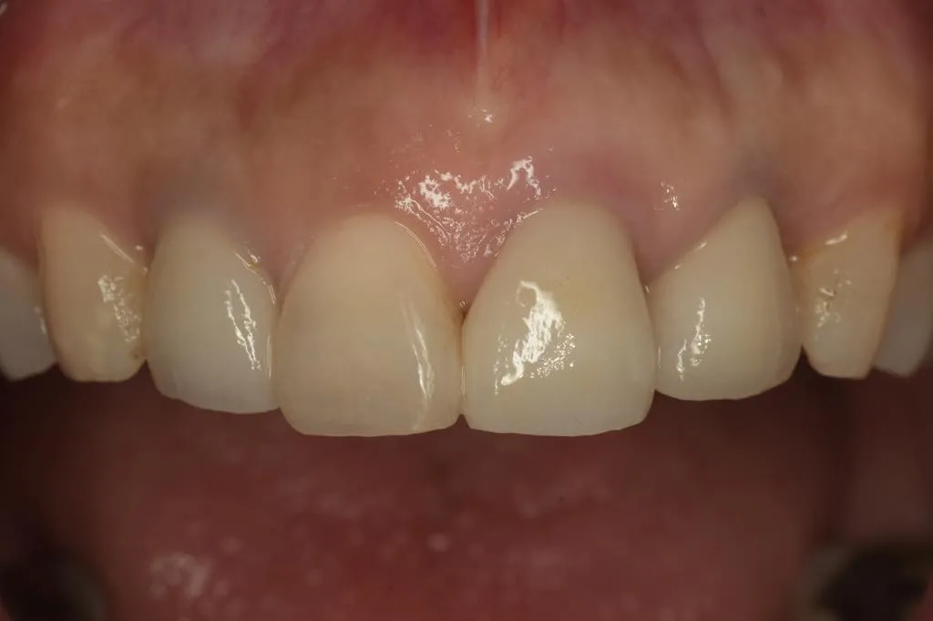
白い詰め物・被せ物について
むし歯治療において詰め物・被せ物をする際、一般に「銀歯」といわれる金属類の素材を用いる場合があります。高い耐久性があり、割れるなど破損の可能性が低いこと、また、保険適用なので安価というメリットがあります。その一方で、変色や変形が起こり、隙間などに歯垢が溜まりやすくなり、銀歯を被せた歯が再びむし歯になってしまうなどのデメリットもあります。金属アレルギーの方にも不向きです。何より、口を開けたときにど金属が見えるため「見た目が気になる」という方が多いです。
当院では、そのようなお悩みごとに対応するために審美治療に力を入れています。具体的には、白い詰め物被せ物を使用することで、それらのデメリットが発生しない素材を用いて治療を行なっています。
気になる方は当院までご相談ください。

このような方におすすめ
- 金属アレルギーのため銀歯を使用できない
- なるべく目立たない詰め物被せ物にしたい
- 身体にも配慮した素材を使用したい
- 治療後の歯を長く維持したい
素材の種類
保険診療でできる白い被せ物
CAD/CAM冠
保険適用のCAD/CAM冠は、被せ物の設計から製作に至るまでをすべてコンピュータ上で行います。歯型の情報をコンピュータに取り込み、専用のソフトで被せ物の形を設計するというものです。
材料には、歯科用プラスチックであるレジンとセラミックを混ぜ合わせた「ハイブリッドセラミック」、もしくは「ハイブリッドレジン」と呼ばれるものを使用します。
従来、レジンも保険適用できる白い素材として被せ物などに使われてきましたが、CAD/CAM冠ではセラミックとのハイブリットを用いることで、より耐久性や安定性が高いものとなっています。

自由診療の白い被せ物
e-max
透明感がある自然な色調の歯になります。「ニケイ酸リチウム」を主成分にしたセラミックで、審美性だけでなく耐久性や体への負荷が少ないことなど、バランスがよい素材といわれています。
主に部分的な詰め物に使用します。

ジルコニア
「人工ダイヤモンド」といわれ、歯科以外でも耳にする頑丈な素材で、十分な強度を保つことができます。白さや透明感もあり、金属アレルギーのリスクや変色の心配もありません。
主に力のかかる臼歯部(奥歯)の被せ物に使用します。

ジルコニアセラミック
内側部分にジルコニアを使用し、上からセラミックを焼き付けて製作する被せ物です。
ジルコニアだけを使った「フルジルコニア」は、白さや透明感の上ではセラミックに劣りますが、上からセラミックを焼き付けることで自然な色調となり、天然歯により近い色を実現します。
主に審美性が求められる前歯部の被せ物に使用します。

①左上1番のセラミック治療とホワイトニング


②前歯の被せ物のやりかえ(セラミック治療)


③前歯部セラミック治療(色と形が気になる)


④前歯をキレイにして欲しい(セラミック治療)


⑤ジルコニア症例(歯を白くしたい)


⑥虫歯の治療希望(金属を使用しないでほしい)


⑦金属を全て白い歯にしたい


ホワイトニング
ホワイトニングについて
ホワイトニングは、歯の表面(エナメル質)に沈着した有機物の着色を分解・漂白し、「黄色くなった歯を白くする」という審美治療の一つです。当院では、ご自宅などで患者さまご本人が行う「ホームホワイトニング」を行っています。

当院のホワイトニングの特徴
当院では「ホームホワイトニング」を行っています。歯科医院にて患者さまに薬剤とマウスピースをお渡しし、ご自身で施術していただきます。低濃度の薬剤を塗布したマウスピースを装着し、少しずつ確実に行うという方法なので、自然な白さに仕上がり、色戻りがしにくいという特長があります。
薬剤は、日本製の「TION」を用います。この薬剤は有効成分が歯面に浸透しやすいため、効率ホワイトニング効果を発揮いたします。低刺激性のため知覚過敏を引き起こしにくく、かつ高いホワイトニング効果を期待できます。

ホワイトニング症例①


ホワイトニング症例②


ホワイトニング症例③


料金
| 項目 | 料金 |
|---|---|
| セラミックインレー(e-max) | 55,000円(税込) |
| ジルコニアクラウン | 66,000円(税込) |
| ジルコニアセラミッククラウン | 110,000円(税込) |
| ホームホワイトニング | 19,800円(税込) |
☆オープニングキャンペーン実施!!
ホワイトニングが10,000円(税込)で行えます!

