欠損治療の比較表
| 治療法 | インプラント | 入れ歯 | ブリッジ |
![]() | ![]() | ![]() | |
| 仕上がりの美しさ | |||
|---|---|---|---|
| 強度 | |||
| 使用時の違和感 | |||
| 特徴 | 自身の歯と同じように噛むことができる 他の歯への負担がなく、見た目も綺麗 ただ手術が必要である | 歯を削る必要がなく体への負担が少ない ただ使用時の違和感があることと、噛むことへの制限が生じる | 違和感があまりない一方で、周りの歯を削る必要があり、負担も大きいことからデメリットの方が大きい |
| 治療法 | インプラント | 入れ歯 | ブリッジ |
|---|---|---|---|
| イメージ | ![]() | ![]() | ![]() |
| 仕上がりの美しさ | |||
| 強度 | |||
| 使用時の違和感 | |||
| メリット | 自身の歯と同じように噛むことができる 他の歯への負担がなく、見た目も綺麗 | 歯を削る必要がなく体への負担が少ない | 違和感があまりない |
| デメリット | 手術が必要である | 使用時の違和感があることと、噛むことへの制限が生じる | 周りの歯を削る必要があり、負担も大きいことからデメリットの方が大きい |
インプラント治療の流れ
- 問診
- コンサルテーション(専門性の高い説明)
- 全身・局所の診査や診断
- 治療計画とシミュレーション
- 手術
- 術後メンテナンス
治療後のメンテナンス

インプラントが骨に接着するまでに3カ月~6カ月程度の治癒期間を要し、治療後も定期検診や丁寧なメンテナンスが必要となります。
インプラントを維持するためには、患者さまご本人の正しい歯磨きやプラークコントロールなどのセルフケアも重要ですが、定期メンテナンスのため歯科に足を運んでいただくことも大切です。骨の状態をチェックしたり、噛み合わせや口腔内の状況を確認したりということを行っていきます。
メンテナンスには1〜3カ月に1回の頻度で通っていただき、少なくとも年1~2回は確認させていだくことを推奨しています。
当院のインプラント治療の特徴
サージカルガイドを用いた手術

インプラント治療を行うにあたって、当院では「サージカルガイド」という装置を導入しています。
インプラントを正しい位置に埋入できるよう補助として用いられるプラスチック製のマウスピース型装置で、治療計画に沿ったインプラントの角度・深度・位置を示すようになっています。
手術前にインプラントを埋入するシミュレーションができたり、切開する歯茎の範囲を小さくできたり、手術時間を短縮できたりと、手術の精度や安全性の向上に貢献します。
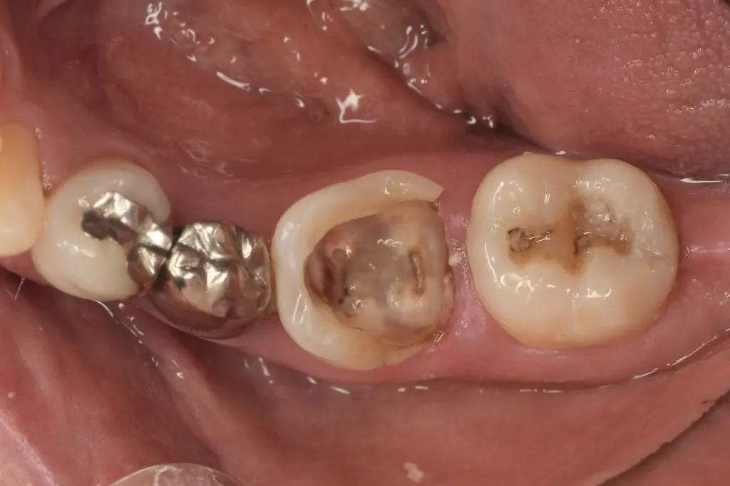
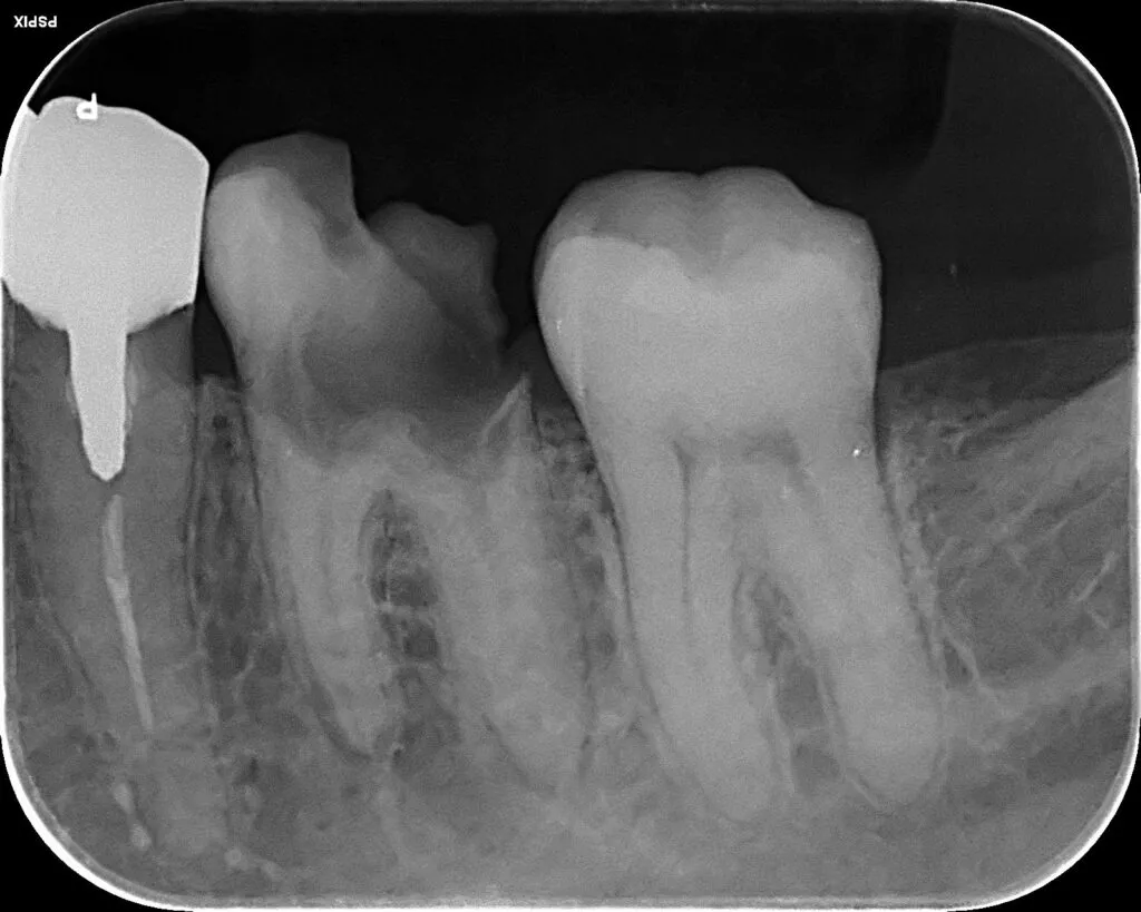
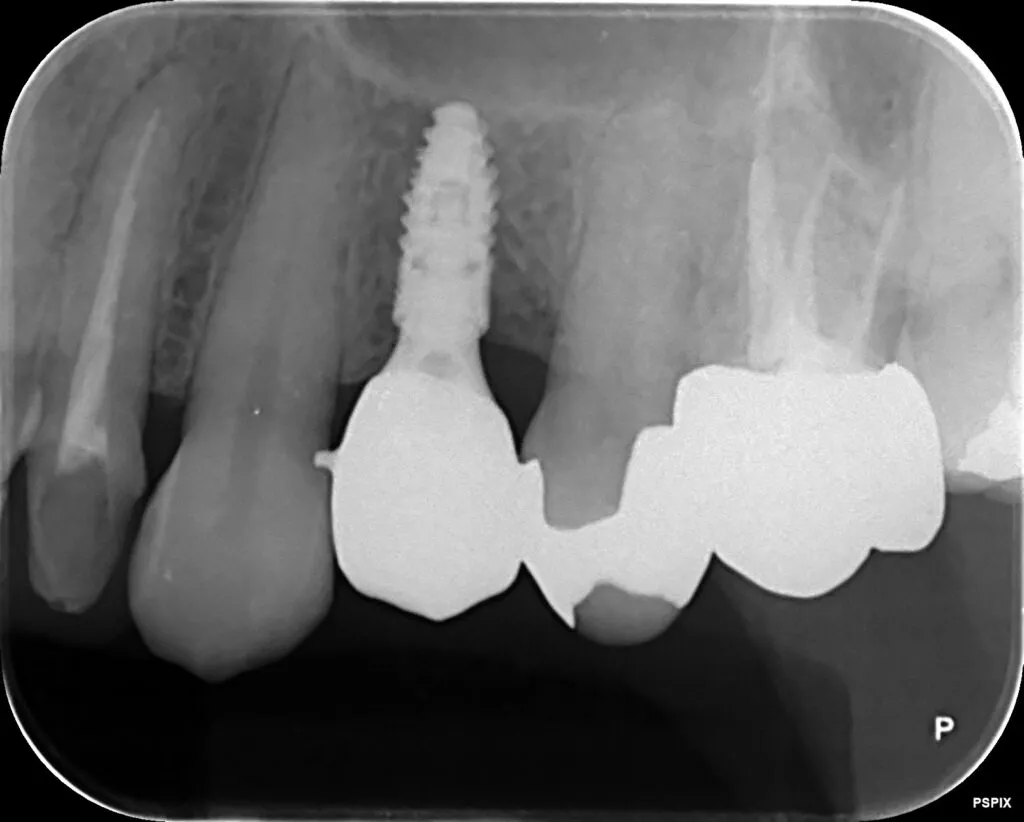
インプラント治療症例①




インプラント治療症例②




インプラント治療症例③


インプラント治療症例④





インプラント治療症例⑤




インプラント治療症例⑥



歯周病などで骨が少なくなった患者さんに対して行う、骨を再生させる処置(ソケットプリザベーション)




入れ歯について
入れ歯
失った歯を補いつつ、いつでも取り外しできることが大きな特長です。
大きく分類すると、部分入れ歯(自分の歯が1本でも残っている場合)と総入れ歯(自分の歯が1本も残っていない場合)の2つがあります。いずれも、使用する素材によって、保険が適用できる場合(保険診療)と、保険適用外(自由診療)となる場合があります。

入れ歯の種類
レジン床
入れ歯の床(歯肉や粘膜に触れる部分)がプラスチックでできた入れ歯です。保険が適用されるので安価であり、修理しやすいというメリットがあります。
反面、強度が低いので厚くする必要があり、違和感が大きくなります。食べ物の温度が伝わりにくい・発音がしにくいなどのデメリットもあります。

メリット
・保険適用で安価である
・修理しやすい
デメリット
・強度が低いので厚みが必要
・違和感が大きい
・温度が伝わりづらい、発音がしづらい
金属床
床が金属でできている入れ歯のことです。
強度が高いため、粘膜に接する床の部分を薄く設計することができ、違和感が少ないのが特徴です。熱い食べ物や飲み物の温度も伝わるので食事を味わうことができたり、汚れが付きにくかったりというメリットもあります。一方で、自由診療で高額になってしまい、金属アレルギーの人には適さないというデメリットもあります。

メリット
・強度が高いため薄く設計でき、違和感が少ない
・温度が伝わりやすく、発音にも影響が少ない
デメリット
・自由診療である
・金属アレルギーの方には使用できない
症例


ノンクラスプデンチャー
部分入れ歯の一種でノンクラスプデンチャーというクラスプが入っていないタイプも選択できます。金属のバネの代わりに歯茎と同じピンク色の樹脂で固定するため、目立ちにくく、金属アレルギーの心配がないというメリットがあります。
一方で、噛んだり強い力がかかったりしたときに、「ズレやすい」「外れやすい」などのデメリットがあります。

メリット
・クラスプという金属のバネがないため審美的である
・保険適用の入れ歯と違い、柔軟性があるので装着感が向上します
・自費治療の入れ歯ですが他の種類の入れ歯(金属床の入れ歯など)より費用が比較的安価
・金属アレルギーの方にも使用できる(一部例外あり)
デメリット
・壊れた時の修理、調整が難しい
症例①


症例②



ブリッジについて
ブリッジとは
歯を失った部分の両隣に生えている歯を支柱にし、橋をかけるように人工歯を入れる治療法です。固定され天然歯と同様の感覚を取り戻せます。

症例


インプラント費用
| 項目 | 料金 |
|---|---|
| インプラント相談 | 初回相談料無料!! |
| インプラント | 1本 392,000円(税込) |
| インプラント診断用装置 | 11,000円(税込) |
| インプラント診断・CT撮影・画像処理 | 17,000円(税込) |
| 手術 | 180,000円(税込) |
| 仮歯 | 9,000円(税込) |
| 土台 | 55,000円(税込) |
| 被せ物 | 100,000円(税込) |
| 保証料 | 20,000円(税込) |
| サージカルガイド | 33,000〜65,000円(税込) |
| ソケットプリザベーション ※症例により変動 | 44,000円(税込) |
| ソケットリフト ※症例により変動 | 110,000~円(税込) |
| GBR ※症例により変動 | 110,000~165,000円(税込) (材料使用量で変動) |
| サイナスリフト ※症例により変動 | 220,000円(税込) |
入れ歯 費用
| 項目 | 料金 |
|---|---|
| 義歯( 金属床義歯) | 275,000円(税込) |
| ノンクラスプデンチャー | 1歯 88,000円(税込) | ノンクラスプデンチャー | 2・3歯 132,000(税込) | ノンクラスプデンチャー | 4~7歯 165,000円(税込) | ノンクラスプデンチャー | 8歯以上 198,000円(税込) |
お支払い方法
デンタルローンの取り扱いについて
当院では、デンタルローン(アプラス)をご利用いただくことも可能です。
クレジットカード各種取り扱い







